PathoPic – image database / PathoPic ID 3535 - septisch bakterielle Myokarditis (septikopyämische Myokarditis)

de
Diagnose
septisch bakterielle Myokarditis (septikopyämische Myokarditis)
Diagnose Gruppe
Entzündung infektiös
Topographie
Herz
Topographie Gruppe
Kardiovaskuläres System
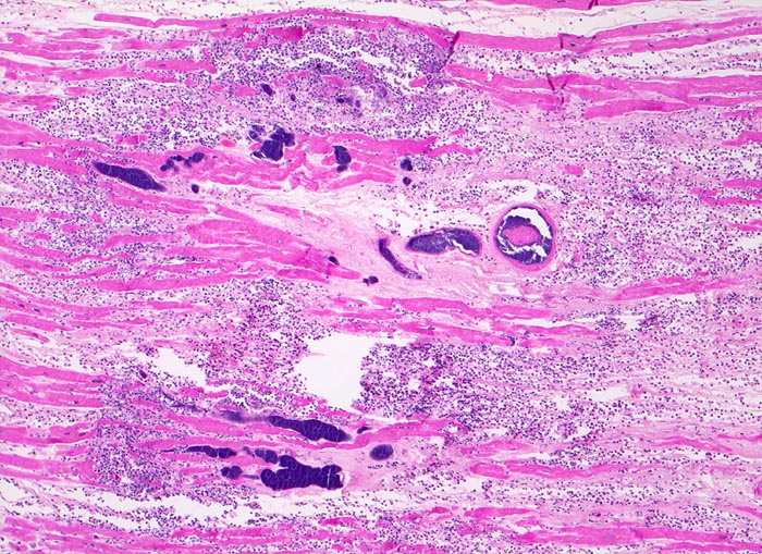
Beschreibung
Das nekrotische hypereosinophile Myokard wird infiltriert von neutrophilen Granulozyten. Die unregelmässig begrenzten blauen Flecken entsprechen Bakterienhaufen, welche teilweise intravaskulär lokalisiert sind.
Klinik
Patient mit bakterieller Staphylokokken-Endokarditis der Aortenklappe bei bekanntem intravenösem Drogenabusus.
Kommentar
Dunkelblau in der HE Färbung sind: Bakterien, Kerne (hier der neutrophilen Granulozyten) und Kalk (nicht auf diesem Bild)
Bilder Typ
Histologie
Vergrösserung
50
Alter
34
Geschlecht
männlich
Datum
Ersteintrag: 25.09.2002