PathoPic – image database / PathoPic ID 3527 - anämischer Hirninfarkt

de
Diagnose
anämischer Hirninfarkt
Diagnose Gruppe
vaskulär / Durchblutungsstörung
Topographie
Hirn parietal
Topographie Gruppe
Nervensystem
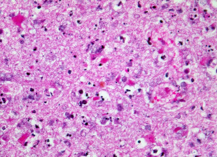
Beschreibung
Im Randbereich des Infarktes zahlreiche $o{as37177hypereosinophiles nekrotisches Neuron} hypereosinophile nekrotische Neurone, daneben zahlreiche zerfallende neutrophile Granulozyten.
Klinik
Vor 7 Tagen Entwicklung eines Hemisyndrom links.
Kommentar
Im Randbereich des Infarktes lassen sich ischämisch geschädigte oder nekrotische Neurone nachweisen, deren Zellfortsätze durch das Nekroseareal verlaufen.
Bilder Typ
Histologie
Vergrösserung
320
Alter
87
Geschlecht
unbekannt
Datum
Ersteintrag: 25.09.2002