Pathopic
HiPaKu
ZyPaKu
PathoBasic
PathoBasic Cytology
Quizzes
Projektinfos
PathoPic - Projekt- und Copyright-Info
About
Pathopic
HiPaKu
ZyPaKu
PathoBasic
PathoBasic Cytology
Quizzes
PathoPic – image database
/
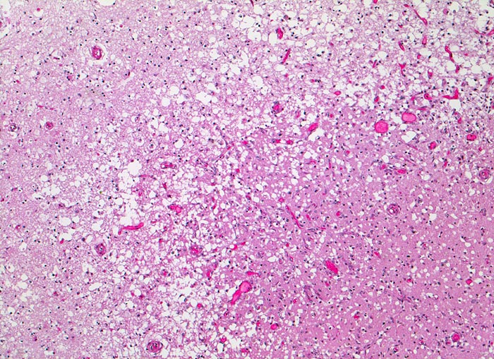
PathoPic ID 3524 - anämischer Hirninfarkt
de
Diagnose
anämischer Hirninfarkt
Diagnose Gruppe
vaskulär / Durchblutungsstörung
Topographie
Hirn parietal
Topographie Gruppe
Nervensystem
Beschreibung
Randbereich des Infarktes mit
spongiotischer Auflockerung des Hirnparenchyms,
Gefässneubildungen und unscharfer Mark-Rinden Grenze. In der helleren
Rinde links im Bild sind keine Neuronen sichtbar.
Klinik
Vor 7 Tagen Entwicklung eines Hemisyndrom links.
Bilder Typ
Histologie
Vergrösserung
50
Alter
87
Geschlecht
unbekannt
Datum
Ersteintrag: 25.09.2002
CPS
·
©
2024 Institut für Pathologie Basel
/
Dr. med. Katharina Glatz-Krieger
.
·
v2.1