Pathopic
HiPaKu
ZyPaKu
PathoBasic
PathoBasic Cytology
Quizzes
Projektinfos
PathoPic - Projekt- und Copyright-Info
About
Pathopic
HiPaKu
ZyPaKu
PathoBasic
PathoBasic Cytology
Quizzes
PathoPic – image database
/
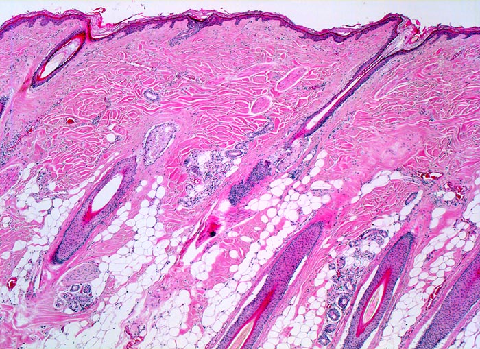
PathoPic ID 3506 - normale Felderhaut
de
Diagnose
normale Felderhaut
Diagnose Gruppe
Normalbefund
Topographie
Haut, Kopf
Topographie Gruppe
Haut
Beschreibung
Zahlreiche längs angeschnittene Haarfollikel.
Bilder Typ
Histologie
Vergrösserung
25
Geschlecht
weiblich
Datum
Ersteintrag: 17.12.2001
CPS
·
©
2024 Institut für Pathologie Basel
/
Dr. med. Katharina Glatz-Krieger
.
·
v2.1