PathoPic – image database / PathoPic ID 3473 - glandulär zystische Hyperplasie der Korpusmukosa

de
Diagnose
glandulär zystische Hyperplasie der Korpusmukosa
Diagnose Gruppe
Hyperplasie / Hypertrophie
Topographie
Endometrium
Topographie Gruppe
Genitalorgane, weiblich
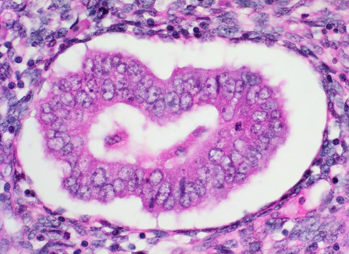
Beschreibung
Drüsenschlauch mit mehrreihigem Epithel. Dichtliegende Kerne. Eine Mitose als Zeichen der proliferativen Aktivität.
Zusatzbefund
-
Klinik
Meno-Metrorrhagien bei perimenopausaler Patientin. Adipositas.
Kommentar
Mitosen sind im hyperplastischen Endometrium oft nachweisbar. Sie sind für die Diagnose jedoch nicht obligat.
Bilder Typ
Histologie
Vergrösserung
400
Alter
50
Geschlecht
unbekannt
Datum
Ersteintrag: 04.07.2002
Update: 10.08.2010