PathoPic – image database / PathoPic ID 3464 - extranodales diffuses grosszelliges B-Zell Lymphom (WHO)

de
Diagnose
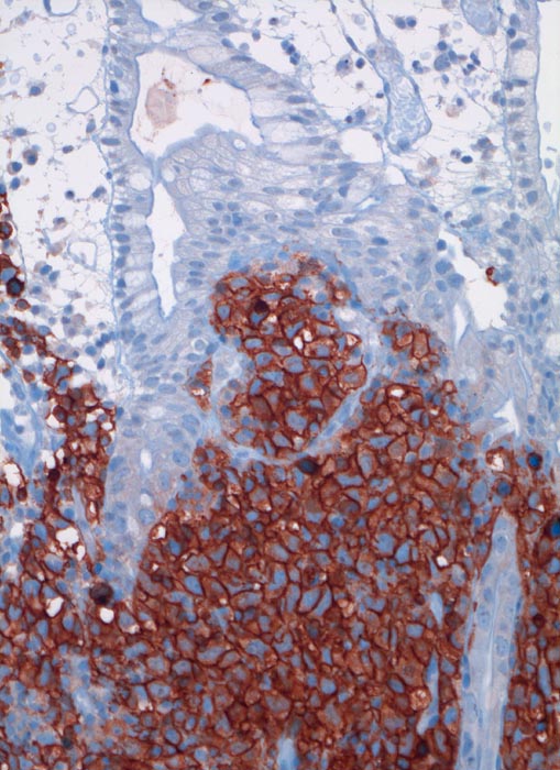
extranodales diffuses grosszelliges B-Zell Lymphom (WHO)
Diagnose Gruppe
maligner Tumor
Topographie
Ileum
Topographie Gruppe
Darm, Anus
Beschreibung
Die CD20 positiven Lymphomzellen infiltrieren die Mukosa.
Zusatzbefund
Immunhistochemie: CD20 positiv, CD3 und CD30 negativ, CD117 negativ
Klinik
Akute Peritonitis bei Darmperforation
Bilder Typ
Histologie
Immunhistochemie
CD20 (L26)
Vergrösserung
200
Alter
88
Geschlecht
unbekannt
Datum
Ersteintrag: 17.12.2001
Update: 29.03.2003