Pathopic
HiPaKu
ZyPaKu
PathoBasic
PathoBasic Cytology
Quizzes
Projektinfos
PathoPic - Projekt- und Copyright-Info
About
Pathopic
HiPaKu
ZyPaKu
PathoBasic
PathoBasic Cytology
Quizzes
PathoPic – image database
/
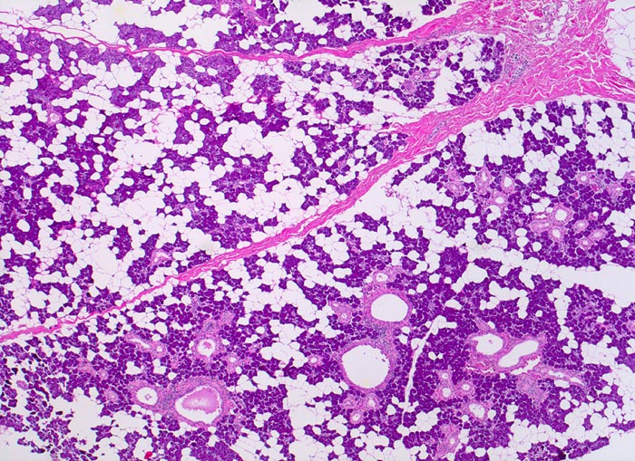
PathoPic ID 3439 - Normale Glandula Parotis
de
Diagnose
Normale Glandula Parotis
Diagnose Gruppe
Normalbefund
Topographie
Parotis
Topographie Gruppe
Kopf & Hals, Sinnesorgane
Beschreibung
In reichlich Fettgewebe eingebettete violett gefärbte seröse Drüsenacini. Die sichtbaren Gänge entsprechen Streifstücken. Zwischen den einzelnen Läppchen verlaufen schmale Bindegewebssepten.
Bilder Typ
Histologie
Vergrösserung
25
Alter
42
Geschlecht
unbekannt
Datum
Ersteintrag: 17.12.2001
Update: 21.12.2007
CPS
·
©
2024 Institut für Pathologie Basel
/
Dr. med. Katharina Glatz-Krieger
.
·
v2.1