PathoPic – image database / PathoPic ID 3428 - extranodales Marginalzonenlymphom: Lymphoepitheliale Läsion

de
Diagnose
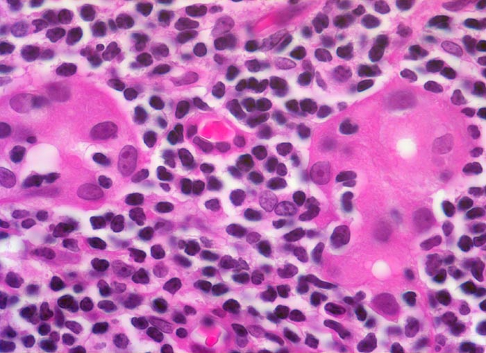
extranodales Marginalzonenlymphom: Lymphoepitheliale Läsion
Diagnose Gruppe
maligner Tumor
Topographie
Magenantrum
Topographie Gruppe
Oesophagus, Magen
Beschreibung
Die Zellen des MALT Lymphoms infiltrieren die Magendrüsen und führen zu einer Epitheldestruktion.
Zusatzbefund
-
Klinik
73 jährige Patientin mit chronischer Helikobakter-Gastritis. Magenbefall ohne Lymphknotenbefall.
Kommentar
Lymphoepitheliale Läsionen sind definiert als ein Infiltrat von mehr als 3-5 Lymphomzellen im Epithel mit konsekutiver Epitheldestruktion. Sie sind typisch für MALT Lymphome und helfen bei der Abgrenzung von anderen Lymphomen oder reaktiven Läsionen.
Bilder Typ
Histologie
Vergrösserung
630
Alter
73
Geschlecht
unbekannt
Datum
Ersteintrag: 24.09.2002