PathoPic – image database / PathoPic ID 3427 - extranodales Marginalzonenlymphom vom MALT-Typ

de
Diagnose
extranodales Marginalzonenlymphom vom MALT-Typ
Diagnose Gruppe
maligner Tumor
Topographie
Magenantrum
Topographie Gruppe
Oesophagus, Magen
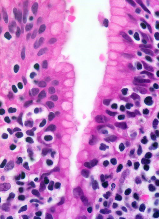
Beschreibung
Die Lymphomzellen infiltrieren das foveoläre Epithel.
Klinik
73 jährige Patientin mit chronischer Helikobakter-Gastritis. Magenbefall ohne Lymphknotenbefall.
Kommentar
Die neoplastischen Zellen des MALT Lymphoms können unterschiedliche Differenzierungen zeigen (zentrozytoid, monozytoid, lymphozytoid oder plasmazellulär).
Bilder Typ
Histologie
Vergrösserung
630
Alter
73
Geschlecht
unbekannt
Datum
Ersteintrag: 24.09.2002
Update: 29.07.2003