PathoPic – image database / PathoPic ID 3425 - extranodales Marginalzonenlymphom vom MALT-Typ

de
Diagnose
extranodales Marginalzonenlymphom vom MALT-Typ
Diagnose Gruppe
maligner Tumor
Topographie
Magenantrum
Topographie Gruppe
Oesophagus, Magen
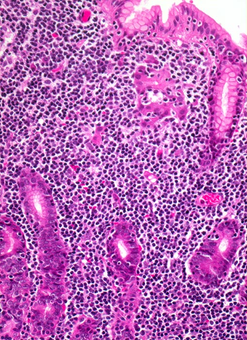
Beschreibung
Monomorphes kleinzelliges Lymphominfiltrat in der Antrummukosa. Die Lymphomzellen infiltrieren die Drüsenschläuche und zerstören diese. Die Monomorphie des Infiltrates und das Übergreifen auf das Magenepithel erlauben die Abgrenzung von einer chronischen Gastritis.
Zusatzbefund
-
Klinik
73 jährige Patientin mit chronischer Helikobakter-Gastritis. Magenbefall ohne Lymphknotenbefall.
Bilder Typ
Histologie
Vergrösserung
200
Alter
73
Geschlecht
unbekannt
Datum
Ersteintrag: 17.12.2001