PathoPic – image database / PathoPic ID 3407 - chronische Lungenstauung: Venulosklerose

de
Diagnose
chronische Lungenstauung: Venulosklerose
Diagnose Gruppe
vaskulär / Durchblutungsstörung
Topographie
Lunge
Topographie Gruppe
Lunge, Mediastinum mit Thymus
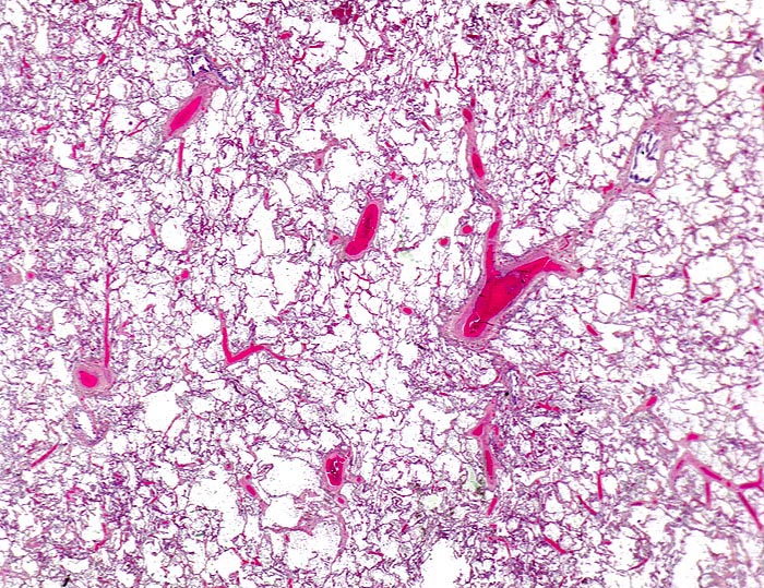
Beschreibung
Starke Blutfülle der Alveolarsepten. Die angeschnittenen Venen zeigen eine deutliche Wandverdickung.
Zusatzbefund
-
Klinik
Patient mit koronarer Herzkrankheit und Linksherzinsuffizienz.
Kommentar
Venen sind im Lungenparenchym daran erkennbar, dass sie im Gegensatz zu den Arterien nicht in unmittelbarer Nachbarschaft eines Bronchus liegen. Die Wanddicke einer normalen Pulmonalvene beträgt maximal 5% des Gefässdurchmessers.
Bilder Typ
Histologie
Vergrösserung
Scan
Alter
64
Geschlecht
männlich
Datum
Ersteintrag: 17.12.2001