PathoPic – image database / PathoPic ID 3382 - chronische Lungenstauung: Herzfehlerzellen

de
Diagnose
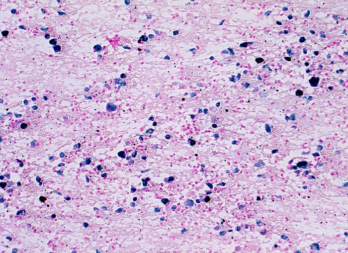
chronische Lungenstauung: Herzfehlerzellen
Diagnose Gruppe
vaskulär / Durchblutungsstörung
Topographie
Sputum
Topographie Gruppe
Lunge, Mediastinum mit Thymus
Beschreibung
Im Sputumausstrich sind in der Eisenfärbung zahlreiche Makrophagen erkennbar, die eisenhaltiges Hämosiderin enthalten.
Zusatzbefund
-
Klinik
Patient mit koronarer Herzkrankheit und Linksherzinsuffizienz.
Bilder Typ
Zytologie
Vergrösserung
100
Alter
64
Geschlecht
männlich
Datum
Ersteintrag: 16.12.2001