PathoPic – image database / PathoPic ID 3381 - chronische Lungenstauung: Herzfehlerzellen

de
Diagnose
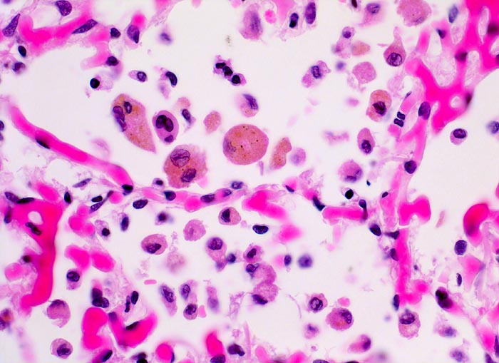
chronische Lungenstauung: Herzfehlerzellen
Diagnose Gruppe
vaskulär / Durchblutungsstörung
Topographie
Lunge
Topographie Gruppe
Lunge, Mediastinum mit Thymus
Beschreibung
Die Kapillaren in den Alveolarsepten sind prall mit Blut gefüllt (Stauung). Bei sehr starker Stauung kann ein Teil des Blutes in die Alveolarräume übertreten und wird dort von den Alveolarmakrophagen phagozytiert. Deren Zytoplasma ist mit braungelbem Hämosiderin gefüllt. Daneben finden sich auch kleinere Makrophagen mit reichlich fein vakuolisiertem Zytoplasma.
Zusatzbefund
-
Klinik
Patient mit koronarer Herzkrankheit und Linksherzinsuffizienz.
Bilder Typ
Histologie
Vergrösserung
400
Alter
64
Geschlecht
männlich
Datum
Ersteintrag: 16.12.2001