PathoPic – image database / PathoPic ID 3380 - chronische Lungenstauung: Venulosklerose

de
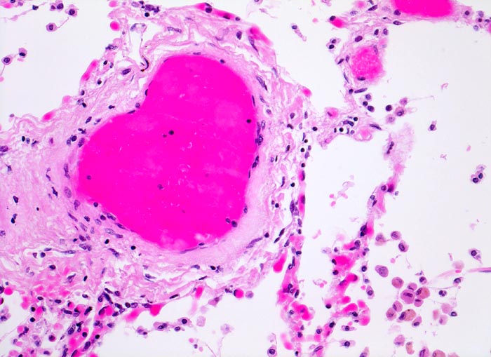
Diagnose
chronische Lungenstauung: Venulosklerose
Diagnose Gruppe
vaskulär / Durchblutungsstörung
Topographie
Lunge
Topographie Gruppe
Lunge, Mediastinum mit Thymus
Beschreibung
Die Wand der abgebildeten Vene ist aufgrund der Mediahypertrophie deutlich verdickt. Die Kapillaren in den Alveolarsepten treten aufgrund der starken Blutfülle deutlich hervor (akute Stauung). Zahlreiche siderinhaltige braune Alveolarmakrophagen in den Alveolarräumen.
Zusatzbefund
-
Klinik
Patient mit koronarer Herzkrankheit und Linksherzinsuffizienz.
Kommentar
Venen sind im Lungenparenchym daran erkennbar, dass sie im Gegensatz zu den Arterien nicht in unmittelbarer Nachbarschaft eines Bronchus liegen. Die Wanddicke einer normalen Pulmonalvene beträgt maximal 5% des Gefässdurchmessers.
Bilder Typ
Histologie
Vergrösserung
200
Alter
64
Geschlecht
männlich
Datum
Ersteintrag: 19.12.2002