PathoPic – image database / PathoPic ID 3281 - Follikuläres Lymphom

de
Diagnose
Follikuläres Lymphom
Diagnose Gruppe
maligner Tumor
Topographie
Lymphknoten, Kopf-cervikal
Topographie Gruppe
Lymphatische Gewebe, KM, Milz
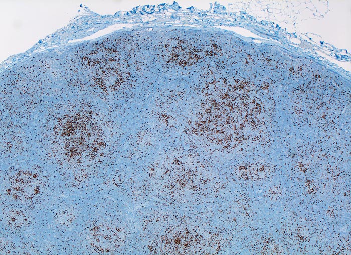
Beschreibung
Die Reaktion mit dem Proliferationsmarker Mib-1 zeigt nur mässig zahlreiche positive Kerne vor allem in den Keimzentren. Bei einer reaktiven Lymphknotenhyperplasie würden deutlich mehr Zellkerne positiv reagieren.
Klinik
Vergösserte Lymphknoten supraklavikulär rechts.
Bilder Typ
Histologie
Immunhistochemie
Ki-67 MIB 1
Vergrösserung
25
Alter
50
Geschlecht
männlich
Datum
Ersteintrag: 25.03.2002
Update: 29.03.2003