PathoPic – image database / PathoPic ID 3211 - Normale Gallenblasenschleimhaut

de
Diagnose
Normale Gallenblasenschleimhaut
Diagnose Gruppe
Normalbefund
Topographie
Gallenblase
Topographie Gruppe
Leber, Gallenwege, Pankreas
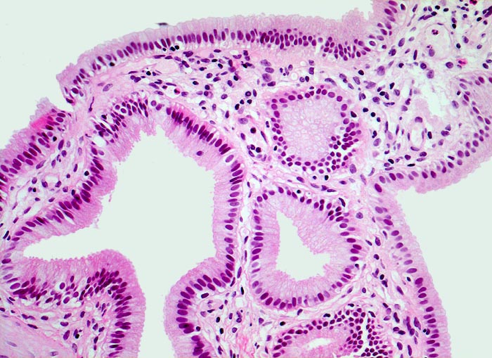
Beschreibung
Die Gallenblasenschleimhaut bildet unregelmässige Falten, die bedeckt sind von einem hochzylindrischen Epithel, dessen Kerne basalständig angeordnet sind. In der Lamina propria findet sich ein lockeres Infiltrat von Lymphozyten und Plasmazellen (minimale chronische Entzündung).
Bilder Typ
Histologie
Vergrösserung
200
Geschlecht
weiblich
Datum
Ersteintrag: 22.03.2002