PathoPic – image database / PathoPic ID 3210 - Normale Gallenblase

de
Diagnose
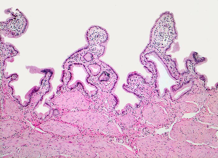
Normale Gallenblase
Diagnose Gruppe
Normalbefund
Topographie
Gallenblase
Topographie Gruppe
Leber, Gallenwege, Pankreas
Beschreibung
Die Gallenblasenschleimhaut bildet unregelmässige Falten, die bedeckt sind von einem hochzylindrischen Epithel. Unterhalb der Mukosa eine dicke Schicht glatter Muskulatur. Anders als in anderen Hohlorganen des Gastrointestinaltrakts fehlen eine Lamina muscularis mucosae und eine Submukosa.
Bilder Typ
Histologie
Vergrösserung
50
Geschlecht
weiblich
Datum
Ersteintrag: 22.03.2002