Pathopic
HiPaKu
ZyPaKu
PathoBasic
PathoBasic Cytology
Quizzes
Projektinfos
PathoPic - Projekt- und Copyright-Info
About
Pathopic
HiPaKu
ZyPaKu
PathoBasic
PathoBasic Cytology
Quizzes
PathoPic – image database
/
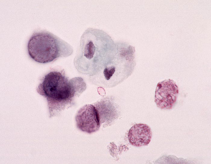
PathoPic ID 3205 - Decoy Zelle, Polyoma Virus
de
Diagnose
Decoy Zelle, Polyoma Virus
Diagnose Gruppe
Entzündung infektiös
Topographie
Urin
Topographie Gruppe
Niere, Harnwege
Beschreibung
Tubulusepithelien mit milchglasartigem Kernplasma (Viruspartikel). Das zelleigene Chromatin ist an die Kernmembran gedrückt und erscheint als
dunkler peripherer Ring.
Klinik
St.n. Nierentransplantation
Bilder Typ
Zytologie
Geschlecht
weiblich
Datum
Ersteintrag: 22.03.2002
Update: 01.04.2003
CPS
·
©
2024 Institut für Pathologie Basel
/
Dr. med. Katharina Glatz-Krieger
.
·
v2.1