PathoPic – image database / PathoPic ID 3181 - Decoy Zelle, Polyoma Virus

de
Diagnose
Decoy Zelle, Polyoma Virus
Diagnose Gruppe
Entzündung infektiös
Topographie
Urin
Topographie Gruppe
Niere, Harnwege
Beschreibung
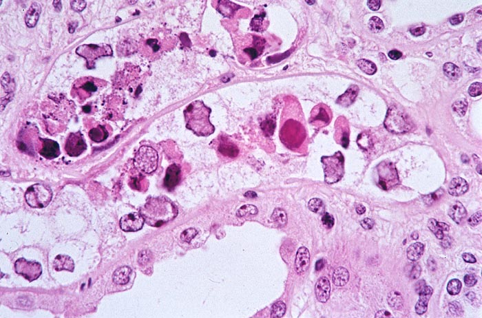
Zellen der Tubulusepithelien mit zytopathisch veränderten Kernen.
Klinik
St.n. Nierentransplantation
Kommentar
Die Typen BK und JC des Polyomavirus sind für den Menschen pathogen. Das JC Virus verursacht die progressive multifokale Leukenzephalopathie. Das BK Virus persistiert in der Niere, ohne eine manifeste Erkrankung hervorzurufen. Bei Immunsupprimierten kann es zu einer klinisch manifesten Infektion der Nieren kommen. Nukleäre Viruseinschlusskörper finden sich in solchen Fällen im Epithel der Sammelrohre und im Epithel anderer Tubulusabschnitte und im Urothel von Nierenbecken und Ureter.
Bilder Typ
Histologie
Geschlecht
weiblich
Datum
Ersteintrag: 22.03.2002
Update: 01.04.2003