PathoPic – image database / PathoPic ID 3175 - Atypische Urothelzellen Grad 3 (Urothelkarzinom)

de
Diagnose
Atypische Urothelzellen Grad 3 (Urothelkarzinom)
Diagnose Gruppe
maligner Tumor
Topographie
Harnblasenspülflüssigkeit
Topographie Gruppe
Niere, Harnwege
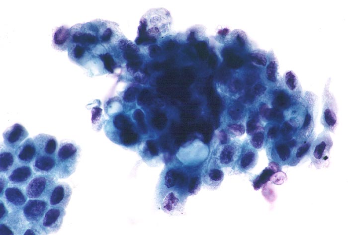
Beschreibung
Urothelien in lockeren Verbänden. Die Epithelien besitzen relativ grosse, teils entrundete und deutlich grob strukturierte hyperchromatische Kerne. Der Zytoplasmaleib ist uncharakteristisch zyanophil oder leicht aufgelockert. Hin und wieder auch ziemlich grosse und stark atypische Kerne.
Zusatzbefund
Histologie: Wenig differenziertes papilläres Urothelkarzinom mit Invasion der Lamina propria.
Klinik
St.n. Nierentransplantation. Terminale Niereninsuffizienz bei Analgetika-Abusus. St.n. Urothelkarzinom der Harnblase (mind. pT1). Jetzt erneut Papillome.
Kommentar
-
Bilder Typ
Zytologie
Vergrösserung
630
Alter
70
Geschlecht
unbekannt
Datum
Ersteintrag: 22.03.2002