PathoPic – image database / PathoPic ID 3155 - Ileum Conduit, keine Malignitätszeichen

de
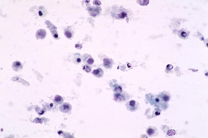
Diagnose
Ileum Conduit, keine Malignitätszeichen
Diagnose Gruppe
Normalbefund
Topographie
Urin
Topographie Gruppe
Darm, Anus
Beschreibung
Der Hintergrund ist stark detritisch. Immer wieder erkennt man degenerierte Zylinderepithelzellen.
Klinik
St.n. Totalresektion der Harnblase.
Kommentar
Keine Malignitätszeichen. Befund vereinbar mit Urin aus Ileum Conduit.
Bilder Typ
Zytologie
Alter
70
Geschlecht
männlich
Datum
Ersteintrag: 21.03.2002