PathoPic – image database / PathoPic ID 3110 - Subakute histiozytäre nekrotisierende Virusmyokarditis

de
Diagnose
Subakute histiozytäre nekrotisierende Virusmyokarditis
Diagnose Gruppe
Entzündung infektiös
Topographie
Herz links
Topographie Gruppe
Kardiovaskuläres System
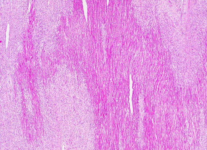
Beschreibung
Grobfleckige subakute Nekrosen (helle Areale).
Zusatzbefund
Lymphohistiozytäre interstitielle Pneumonie.
Klinik
Myokarditis mit kardiogenem Schock.
Kommentar
Trotz negativem Virusnachweis ist der Befund gut vereinbar mit einer viralen Myokarditis.
Bilder Typ
Histologie
Vergrösserung
25
Alter
0.5
Geschlecht
weiblich
Datum
Ersteintrag: 21.03.2002