Pathopic
HiPaKu
ZyPaKu
PathoBasic
PathoBasic Cytology
Quizzes
Projektinfos
PathoPic - Projekt- und Copyright-Info
About
Pathopic
HiPaKu
ZyPaKu
PathoBasic
PathoBasic Cytology
Quizzes
PathoPic – image database
/
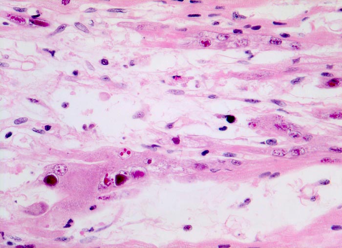
PathoPic ID 3107 - parenchymatöse Zytomegalievirus Myokarditis
de
Diagnose
parenchymatöse Zytomegalievirus Myokarditis
Diagnose Gruppe
Entzündung infektiös
Topographie
Herz links
Topographie Gruppe
Kardiovaskuläres System
Beschreibung
Die Herzmuskelzellen sind vergrössert und enthalten rundliche eosinophile virale Kerneinschlüsse.
Zusatzbefund
Generalisierte Zytomegalievirusinfektion mit Befall von Lunge, Herz, Darm, Pankreas, Nebenniere, Nieren, Leber, Lymphknoten, Hoden und Hirn. Generalisierte Mykobakteriose wahrscheinlich nach BCG Impfung.
Klinik
Immundefizitäres Syndrom Typ Nezelof. St.n. Sepsis und Pneumonie. Dickdarmperforation. Herzversagen.
Bilder Typ
Histologie
Vergrösserung
320
Geschlecht
weiblich
Datum
Ersteintrag: 21.03.2002
CPS
·
©
2024 Institut für Pathologie Basel
/
Dr. med. Katharina Glatz-Krieger
.
·
v2.1