PathoPic – image database / PathoPic ID 3020 - alpha-1-Antitrypsinmangel

de
Diagnose
alpha-1-Antitrypsinmangel
Diagnose Gruppe
angeboren /genetisch/Missbildung
Topographie
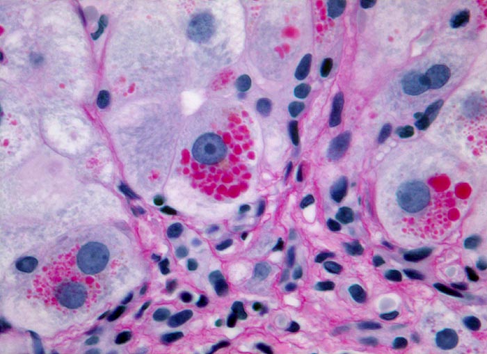
Leber
Topographie Gruppe
Leber, Gallenwege, Pankreas
Beschreibung
Nach Diastase Vorbehandlung enthalten die periportalen Hepatozyten zahlreiche kugelige rote zytoplasmatische Einschlüsse, welche immunhistochemisch alpha-1-Antitrypsin entsprechen.
Bilder Typ
Histologie
Vergrösserung
630
Geschlecht
weiblich
Datum
Ersteintrag: 20.03.2002