PathoPic – image database / PathoPic ID 2982 - Strumales Karzinoid in reifem Teratom

de
Diagnose
Strumales Karzinoid in reifem Teratom
Diagnose Gruppe
benigner Tumor
Topographie
Ovar
Topographie Gruppe
Genitalorgane, weiblich
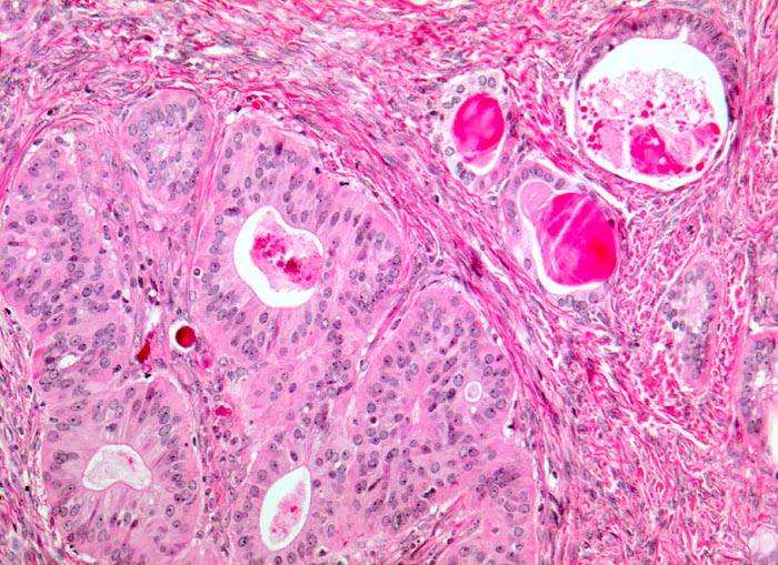
Beschreibung
Rechts im Bild mehrere kolloidgefüllte Follikel der Struma ovarii. Links davon durch schmale Septen voneinander getrennte tubuläre Strukturen mit hochprismatischem Epithel und monomorphen kleinen runden bläschenförmigen Kernen mit feinem Chromatin und kleinen Nukleolen.
Zusatzbefund
Solider gelblicher Knoten innerhalb eines zystischen Ovarialtumors von 6cm Durchmesser. Hohlräume gefüllt mit Kolloid.
Klinik
Einseitiger Ovarialtumor seit 2 Jahren.
Kommentar
Verlauf in der Regel gutartig.
Bilder Typ
Histologie
Vergrösserung
160
Alter
45
Geschlecht
unbekannt
Datum
Ersteintrag: 20.03.2002
Update: 10.08.2010