Pathopic
HiPaKu
ZyPaKu
PathoBasic
PathoBasic Cytology
Quizzes
Projektinfos
PathoPic - Projekt- und Copyright-Info
About
Pathopic
HiPaKu
ZyPaKu
PathoBasic
PathoBasic Cytology
Quizzes
PathoPic – image database
/
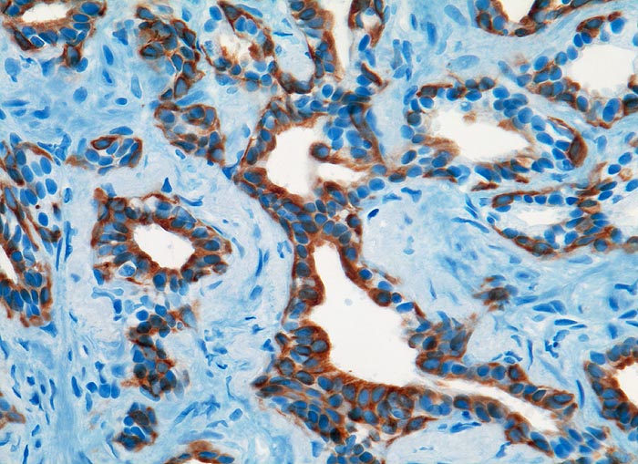
PathoPic ID 2948 - Postatrophe Hyperplasie: Basalzellen
de
Diagnose
Postatrophe Hyperplasie: Basalzellen
Diagnose Gruppe
Hyperplasie / Hypertrophie
Topographie
Prostata
Topographie Gruppe
Genitalorgane, männlich
Beschreibung
Mit dem Basalzellantikörper wird klar ersichtlich, dass es sich um eine gutartige Läsion mit erhaltener Basalzellschicht handelt. Teilweise weist auch die innere drüsenauskleidende Zellschicht Basalzelldifferenzierung auf.
Bilder Typ
Histologie
Immunhistochemie
CK34betaE12
Vergrösserung
320
Geschlecht
männlich
Datum
Ersteintrag: 20.03.2002
Update: 30.07.2010
CPS
·
©
2024 Institut für Pathologie Basel
/
Dr. med. Katharina Glatz-Krieger
.
·
v2.1