PathoPic – image database / PathoPic ID 267 - Chronische Pneumocystis jirovecii Pneumonie

de
Diagnose
Chronische Pneumocystis jirovecii Pneumonie
Diagnose Gruppe
Entzündung infektiös
Topographie
Lunge
Topographie Gruppe
Lunge, Mediastinum mit Thymus
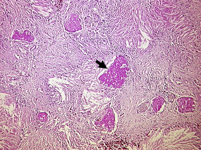
Beschreibung
Vernarbung des Lungeninterstitiums mit herausgelösten Cholesterinkristallen und PAS positiven schaumigen Einschlüssen. Diese enthalten zahlreiche Erreger.
Klinik
AIDS. HIV Positivität bekannt seit 2 Jahren bei iv Drogenabusus.
Bilder Typ
Histologie
Alter
38
Geschlecht
unbekannt
Datum
Ersteintrag: 06.11.2001
Update: 30.07.2010