Pathopic
HiPaKu
ZyPaKu
PathoBasic
PathoBasic Cytology
Quizzes
Projektinfos
PathoPic - Projekt- und Copyright-Info
About
Pathopic
HiPaKu
ZyPaKu
PathoBasic
PathoBasic Cytology
Quizzes
PathoPic – image database
/
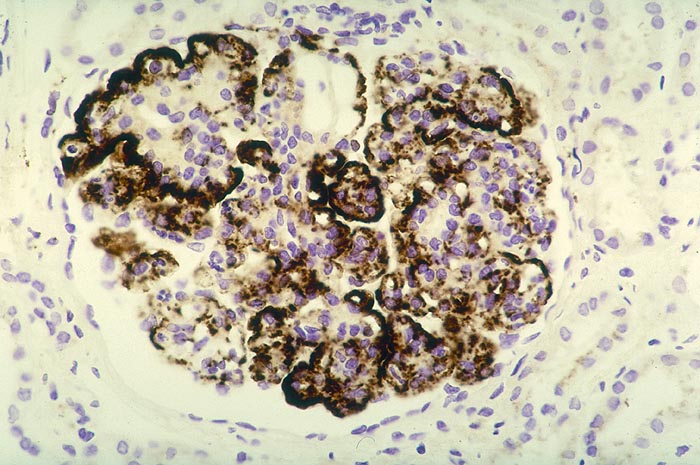
PathoPic ID 2667 - Membranoproliferative Glomerulonephritis
de
Diagnose
Membranoproliferative Glomerulonephritis
Diagnose Gruppe
Entzündung / Reparatur
Topographie
Niere
Topographie Gruppe
Niere, Harnwege
Beschreibung
Lobuläre Variante der membranoproliferativen Glomerulonephritis. Massive bandartige subendotheliale Komplement C3 Ablagerungen in praktisch sämtlichen Glomerulusschlingen.
Kommentar
Granuläre Immundepots. Primär subendothelial, später auch mesangial. Viel oder ausschliesslich Komplement C3, meist auch IgG, IgM und IgA.
Bilder Typ
Histologie
Immunhistochemie
C3-Komplement
Geschlecht
weiblich
Datum
Ersteintrag: 14.03.2002
CPS
·
©
2024 Institut für Pathologie Basel
/
Dr. med. Katharina Glatz-Krieger
.
·
v2.1