PathoPic – image database / PathoPic ID 265 - Chronische Pneumocystis jirovecii Pneumonie

de
Diagnose
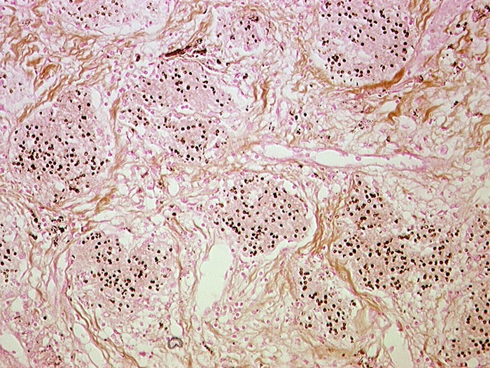
Chronische Pneumocystis jirovecii Pneumonie
Diagnose Gruppe
Entzündung infektiös
Topographie
Lunge
Topographie Gruppe
Lunge, Mediastinum mit Thymus
Beschreibung
Zahlreiche mit der Versilberung anfärbbare Erreger in den Alveolarräumen.
Klinik
AIDS. HIV Positivität bekannt seit 2 Jahren bei iv Drogenabusus.
Bilder Typ
Histologie
Alter
38
Geschlecht
unbekannt
Datum
Ersteintrag: 06.11.2001
Update: 30.07.2010