PathoPic – image database / PathoPic ID 264 - Atypische Mycobakteriose

de
Diagnose
Atypische Mycobakteriose
Diagnose Gruppe
Entzündung infektiös
Topographie
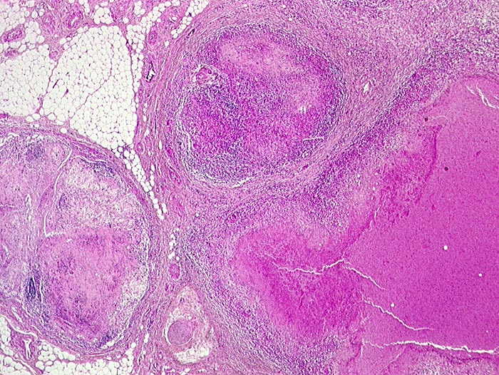
Lymphknoten, abdominal
Topographie Gruppe
Lymphatische Gewebe, KM, Milz
Beschreibung
Ausgedehnte käsige Nekroseherde in mesenterialen Lymphknoten.
Zusatzbefund
Nachweis von säurefesten Stäbchen (Mycobakterium avium intracellulare) in den Nekrosen.
Klinik
AIDS. HIV Positivität bekannt seit 2 Jahren bei iv Drogenabusus.
Bilder Typ
Histologie
Alter
38
Geschlecht
unbekannt
Datum
Ersteintrag: 06.11.2001