Pathopic
HiPaKu
ZyPaKu
PathoBasic
PathoBasic Cytology
Quizzes
Projektinfos
PathoPic - Projekt- und Copyright-Info
About
Pathopic
HiPaKu
ZyPaKu
PathoBasic
PathoBasic Cytology
Quizzes
PathoPic – image database
/
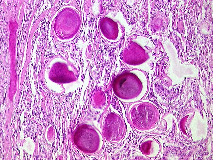
PathoPic ID 255 - Psammomatöses Meningeom
de
Diagnose
Psammomatöses Meningeom
Diagnose Gruppe
benigner Tumor
Topographie
Meningen
Topographie Gruppe
Nervensystem
Zusatzbefund
Kugeliger Tumor im Bereich der Falx cerebri.
Bilder Typ
Histologie
Geschlecht
weiblich
Datum
Ersteintrag: 06.11.2001
CPS
·
©
2024 Institut für Pathologie Basel
/
Dr. med. Katharina Glatz-Krieger
.
·
v2.1