PathoPic – image database / PathoPic ID 25 - Kolonschleimhautadenom, leichte Dysplasie.

de
Grad
Diagnose
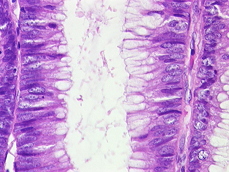
Kolonschleimhautadenom, leichte Dysplasie.
Diagnose Gruppe
Präneoplasie/ Atypie/ Dignität?
Topographie
Kolon Sigma
Topographie Gruppe
Darm, Anus
Beschreibung
Längliche, teils leicht vergrösserte, hyperchromatische Kerne. Wenig reduzierte Schleimbildung.
Bilder Typ
Histologie
Alter
77
Geschlecht
unbekannt
Datum
Ersteintrag: 23.10.2001