PathoPic – image database / PathoPic ID 22 - Nierenzellkarzinom: intrazellulärer Lipidnachweis

de
Diagnose
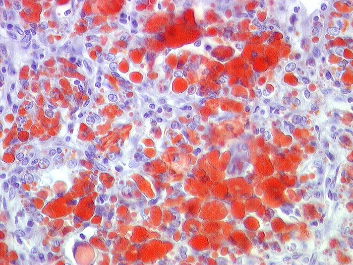
Nierenzellkarzinom: intrazellulärer Lipidnachweis
Diagnose Gruppe
maligner Tumor
Topographie
Niere
Topographie Gruppe
Niere, Harnwege
Beschreibung
Mit Sudanrot angefärbte intrazelluläre Lipidtropfen in einem hellzelligen Nierenzellkarzinom
Zusatzbefund
gelber Tumor (Lipid!) mit Einblutungen
Klinik
Nierenzellkarzinom pT1. Zufallsbefund anlässlich Sonographie nach Unfall.
Bilder Typ
Histologie
Alter
68
Geschlecht
männlich
Datum
Ersteintrag: 23.10.2001