PathoPic – image database / PathoPic ID 212 - Endometriosezyste des Ovars

de
Diagnose
Endometriosezyste des Ovars
Diagnose Gruppe
organspezifische Erkrankung
Topographie
Ovar
Topographie Gruppe
Genitalorgane, weiblich
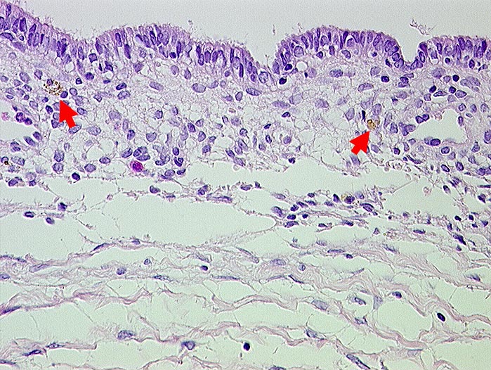
Beschreibung
Von hochzylindrischem Epithel bedeckte Zystenwand mit subepithelialem endometranem Stroma. Blutungsresiduen in Form von Hämosiderophagen.
Bilder Typ
Histologie
Alter
31
Geschlecht
unbekannt
Datum
Ersteintrag: 05.11.2001
Update: 30.07.2010