PathoPic – image database / PathoPic ID 2029 - Amyloidose der Gefässe

de
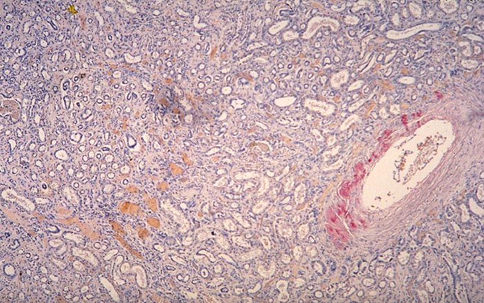
Diagnose
Amyloidose der Gefässe
Diagnose Gruppe
Systemerkrankung/Immunpathologie
Topographie
Niere
Topographie Gruppe
Niere, Harnwege
Beschreibung
Ausschliesslich Amyloidablagerungen in einer Arterienwand.
Zusatzbefund
Glomeruli und Interstitium negativ. AL-Amyloid.
Bilder Typ
Histologie
Geschlecht
weiblich
Datum
Ersteintrag: 05.02.2002
Update: 09.12.2009