PathoPic – image database / PathoPic ID 202 - Perakuter Myokardinfarkt

de
Zeitverlauf
Diagnose
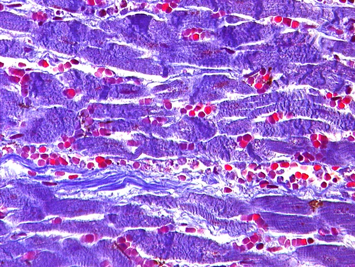
Perakuter Myokardinfarkt
Diagnose Gruppe
vaskulär / Durchblutungsstörung
Topographie
Herz links
Topographie Gruppe
Kardiovaskuläres System
Beschreibung
Nekrotische Myokardfasern mit zahlreichen Kontraktionsbändern. Ein granulozytäres Entzündungsinfiltrat fehlt.
Klinik
St.n. vierfachem Aortokoronarem Bypass vor 10 Jahren.
Bilder Typ
Histologie
Alter
85
Geschlecht
unbekannt
Datum
Ersteintrag: 30.10.2001