PathoPic – image database / PathoPic ID 2008 - Amyloidose

de
Diagnose
Amyloidose
Diagnose Gruppe
Systemerkrankung/Immunpathologie
Topographie
Niere
Topographie Gruppe
Niere, Harnwege
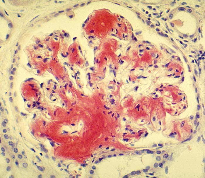
Beschreibung
Glomerulus mit massiven homogenen kongoroten azellulären Ablagerungen im Mesangium. die peripheren Schlingen wenig befallen.
Kommentar
Glomeruläre Amyloidose: anfangs kleine mesangiale, gelegentlich besonders Gefässpolnahe zellfreie Amyloidablagerungen, später teilweise noduläre mesangiale Ablagerungen und Ausdehnung in die Schlingenperipherie mit Durchsetzung der Basalmembran. Schliesslich vollständige Ausfüllung der Schlingenlumina und Verödung der Glomeruli.
Bilder Typ
Histologie
Geschlecht
weiblich
Datum
Ersteintrag: 05.02.2002