PathoPic – image database / PathoPic ID 196 - Tuberkulose des Endometriums

de
Diagnose
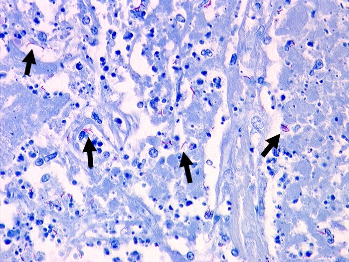
Tuberkulose des Endometriums
Diagnose Gruppe
Entzündung infektiös
Topographie
Uterus
Topographie Gruppe
Genitalorgane, weiblich
Beschreibung
Krümelige Nekrose mit Kerntrümmern. Einzelne säurefeste Stäbchen entsprechen Mykobakterien.
Klinik
Urogenitale Tuberkulose mit Befall des Endometriums, des Ovars und des Douglasperitoneums.
Bilder Typ
Histologie
Vergrösserung
630
Alter
75
Geschlecht
unbekannt
Datum
Ersteintrag: 30.10.2001
Update: 10.08.2010