PathoPic – image database / PathoPic ID 1951 - Extrakapillär betonte Glomerulonephritis: globaler Halbmond

de
Diagnose
Extrakapillär betonte Glomerulonephritis: globaler Halbmond
Diagnose Gruppe
Systemerkrankung/Immunpathologie
Topographie
Niere
Topographie Gruppe
Niere, Harnwege
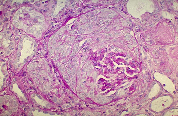
Beschreibung
Der Kapselraum des Glomerulus wird durch proliferierte Zellen eines globalen Halbmondes, der das gesamte Schlingenkonvolut umgibt, vollständig ausgefüllt. Die Glomerulusschlingen sind im Bereich des Gefässpols zusammengesintert. Keine Zellvermehrung im Schlingenkonvolut.
Kommentar
Beim Goodpasture Syndrom kommen nicht nur in den Nieren, sondern auch entlang der alveolären Basalmembran ultralineare Ablagerungen von Antibasalmembran Antikörpern vor. Gehäuft bei Rauchern, nach Virusinfekten, nach Rifampicin oder bei malignen Tumoren.
Bilder Typ
Histologie
Geschlecht
weiblich
Datum
Ersteintrag: 24.01.2002