PathoPic – image database / PathoPic ID 191 - Aspergillussepsis mit Myokardbefall

de
Diagnose
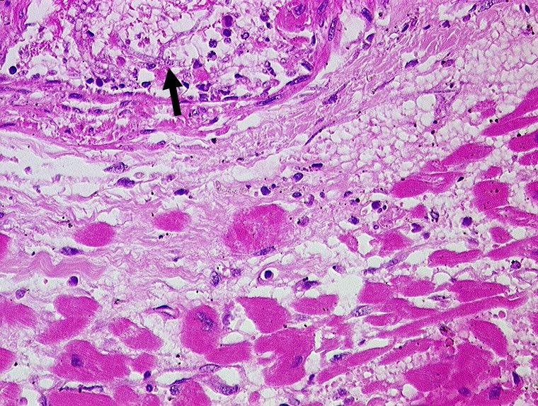
Aspergillussepsis mit Myokardbefall
Diagnose Gruppe
Entzündung infektiös
Topographie
Herz links
Topographie Gruppe
Kardiovaskuläres System
Beschreibung
Aspergillushyphen in einem intramyokardialen Gefäss.
Klinik
Aspergillussepsis. Chronische lymphatische Leukämie. Metastasierendes Spinaliom.
Bilder Typ
Histologie
Alter
61
Geschlecht
männlich
Datum
Ersteintrag: 30.10.2001