PathoPic – image database / PathoPic ID 189 - invasive Aspergillose

de
Diagnose
invasive Aspergillose
Diagnose Gruppe
Entzündung infektiös
Topographie
Lunge
Topographie Gruppe
Lunge, Mediastinum mit Thymus
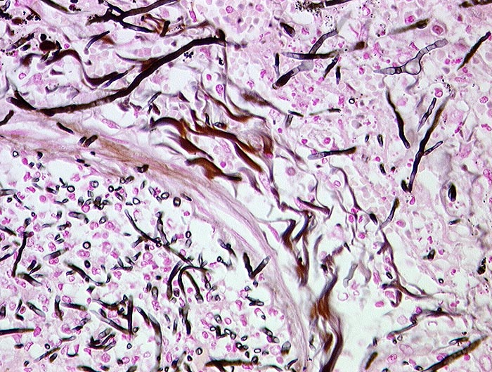
Beschreibung
Verzweigte septierte Pilzhyphen infiltrieren die Wand eines Gefässes links im Bild.
Klinik
Aspergillussepsis. Chronische lymphatische Leukämie. Metastasierendes Spinaliom.
Bilder Typ
Histologie
Alter
61
Geschlecht
männlich
Datum
Ersteintrag: 30.10.2001