PathoPic – image database / PathoPic ID 1629 - Verknöcherte Papillennekrose bei Analgetikanephropathie

de
Zeitverlauf
Diagnose
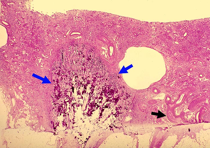
Verknöcherte Papillennekrose bei Analgetikanephropathie
Diagnose Gruppe
Therapiefolgen
Topographie
Niere
Topographie Gruppe
Niere, Harnwege
Beschreibung
Hochgradig geschrumpfte Nierenrinde. Die Tubuli sind vollständig atroph. Die gesamte nekrotische Papille ist in situ verblieben verkalkt und verknöchert. Die Gefässe zeigen eine ausgeprägte adaptative Intimafibrose.
Bilder Typ
Histologie
Geschlecht
weiblich
Datum
Ersteintrag: 31.12.2001