PathoPic – image database / PathoPic ID 1540 - Malignes Mesotheliom epithelialer Typ

de
Diagnose
Malignes Mesotheliom epithelialer Typ
Diagnose Gruppe
maligner Tumor
Topographie
Peritoneum
Topographie Gruppe
Körperhöhlen, Serosa
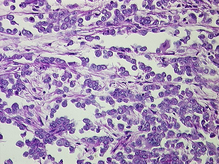
Beschreibung
Kubische Zellen kleiden tubuläre Räume aus. Die Tumorzellen haben vesikuläre Kerne mit prominenten Nukleolen.
Zusatzbefund
500ml seröser Ascites. Kleine Metastasen in der Lunge.
Klinik
Bekannt seit 6 Monaten.
Bilder Typ
Histologie
Alter
66
Geschlecht
männlich
Datum
Ersteintrag: 12.12.2001