PathoPic – image database / PathoPic ID 1407 - Chronische atrophe Gastritis und intestinale Metaplasie

de
Diagnose
Chronische atrophe Gastritis und intestinale Metaplasie
Diagnose Gruppe
Systemerkrankung/Immunpathologie
Topographie
Magenkorpus
Topographie Gruppe
Oesophagus, Magen
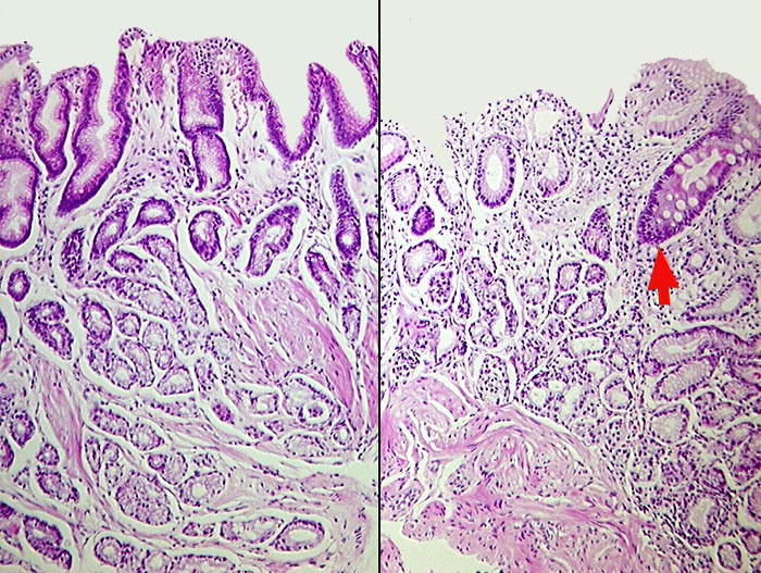
Beschreibung
Vollständige Atrophie der magenspezifischen Drüsen im Magenkorpus. Mässig dichtes chronisches Entzündungsinfiltrat. Drüsenschlauch mit Becherzellen (intestinale Metaplasie).
Zusatzbefund
Im Antrum geringe chronische Entzündung.
Klinik
Vitamin B 12 Mangel. Antikörper gegen Intrinsic Factor. Vitiligo.
Bilder Typ
Histologie
Alter
71
Geschlecht
männlich
Datum
Ersteintrag: 06.12.2001