PathoPic – image database / PathoPic ID 140 - akuter Myokardinfarkt

de
Diagnose
akuter Myokardinfarkt
Diagnose Gruppe
vaskulär / Durchblutungsstörung
Topographie
Herz links
Topographie Gruppe
Kardiovaskuläres System
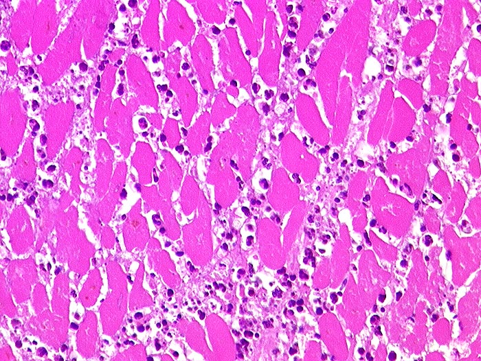
Beschreibung
Die Myozyten sind schollig zerfallen und hypereosinophil, Kernstrukturen sind nicht mehr erkennbar. Zwischen den nekrotischen Muskelfasern dichte granulozytäre Entzündungsinfiltrate.
Klinik
akuter embolischer Myokardinfarkt bei Aortenklappenendokarditis.
Bilder Typ
Histologie
Alter
31
Geschlecht
unbekannt
Datum
Ersteintrag: 25.10.2001