PathoPic – image database / PathoPic ID 137 - muzinöses Bronchioloalveoläres Karzinom

de
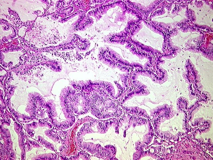
Diagnose
muzinöses Bronchioloalveoläres Karzinom
Diagnose Gruppe
maligner Tumor
Topographie
Lunge
Topographie Gruppe
Lunge, Mediastinum mit Thymus
Beschreibung
Hochzylindrische schleimbildende Zellen mit geringen Atypien tapezieren die Alveolarsepten aus. Das Lungengerüst bleibt erhalten.
Zusatzbefund
3cm grosser peripherer Lungentumor. Metastasen Lymphknoten,Hirn, Nebennieren.
Klinik
Tumor bekannt seit 3 Jahren.
Bilder Typ
Histologie
Alter
75
Geschlecht
männlich
Datum
Ersteintrag: 25.10.2001