Pathopic
HiPaKu
ZyPaKu
PathoBasic
PathoBasic Cytology
Quizzes
Projektinfos
PathoPic - Projekt- und Copyright-Info
About
Pathopic
HiPaKu
ZyPaKu
PathoBasic
PathoBasic Cytology
Quizzes
PathoPic – image database
/
PathoPic ID 1344 - Lymphozytäre Gastritis
de
Diagnose
Lymphozytäre Gastritis
Diagnose Gruppe
Entzündung / Reparatur
Topographie
Magenantrum
Topographie Gruppe
Oesophagus, Magen
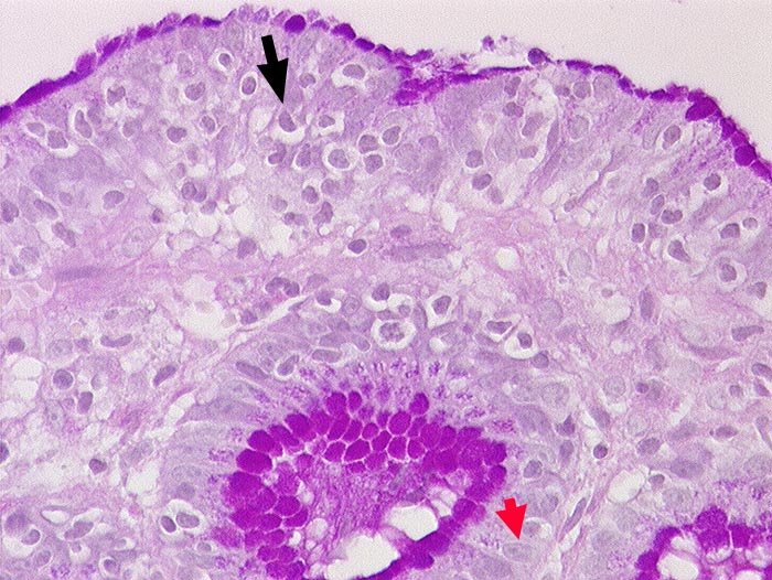
Beschreibung
Stroma ohne relevantes Entzündungsinfiltrat. Sehr zahlreiche intraepitheliale Lymphozyten. Im Gegensatz zu den
►
Epithelzellen mit länglichen, hellen Kernen haben die
►
Lymphozyten runde, dunkle Kerne und sind von einem Halo umgeben.
Zusatzbefund
Kein Helicobacter pylori.
Bilder Typ
Histologie
Alter
33
Geschlecht
unbekannt
Datum
Ersteintrag: 05.12.2001
CPS
·
©
2024 Institut für Pathologie Basel
/
Dr. med. Katharina Glatz-Krieger
.
·
v2.1