PathoPic – image database / PathoPic ID 1305 - Schwere chronische Helicobactergastritis mit follikulärer Entzündung

de
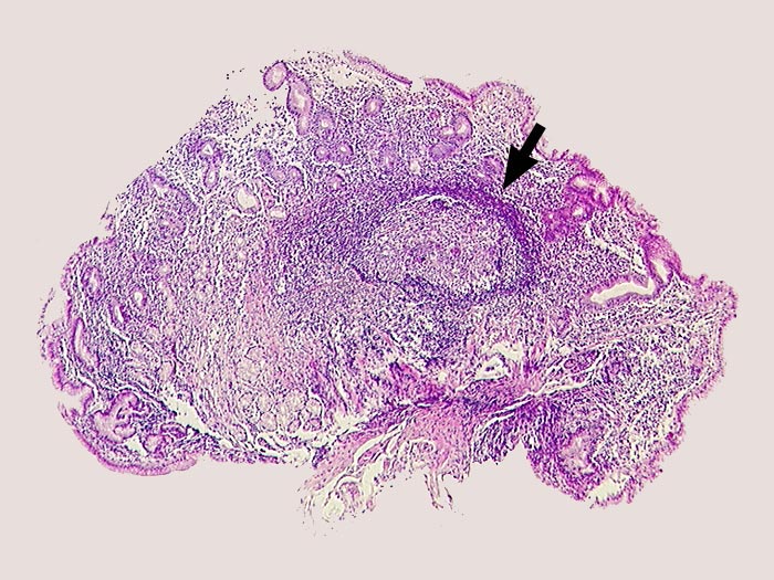
Diagnose
Schwere chronische Helicobactergastritis mit follikulärer Entzündung
Diagnose Gruppe
Entzündung infektiös
Topographie
Magenantrum
Topographie Gruppe
Oesophagus, Magen
Beschreibung
Dichtes Entzündungsinfiltrat im Stroma. Lymphfollikel mit Keimzentrum.
Zusatzbefund
Helicobacter.
Kommentar
Lymphfollikel kommen charakteristischerweise bei der Helicobactergastritis vor.
Bilder Typ
Histologie
Geschlecht
weiblich
Datum
Ersteintrag: 05.12.2001