PathoPic – image database / PathoPic ID 1296 - Foveoläre Hyperplasie

de
Diagnose
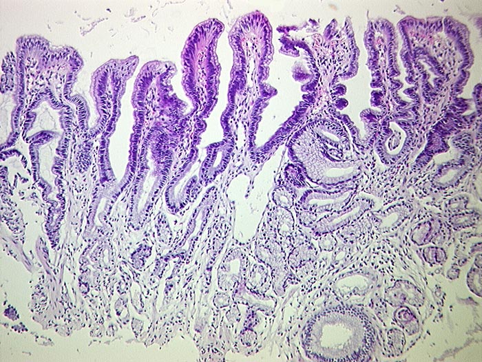
Foveoläre Hyperplasie
Diagnose Gruppe
Hyperplasie / Hypertrophie
Topographie
Magenantrum
Topographie Gruppe
Oesophagus, Magen
Beschreibung
Die Foveolae sind korkenzieherartig gewunden und sind stellenweise länger als 50% der Schleimhautdicke. Das Epithel ist basophiler als normal (regeneratorische Veränderung).
Kommentar
Die foveoläre Hyperplasie tritt beispielsweise auf als Folge chemischer Schädigungen oder im Bereich von Ulkusnarben.
Bilder Typ
Histologie
Alter
76
Geschlecht
männlich
Datum
Ersteintrag: 05.12.2001