PathoPic – image database / PathoPic ID 1279 - Hepatozelluläres Karzinom : Tumorembolien

de
Diagnose
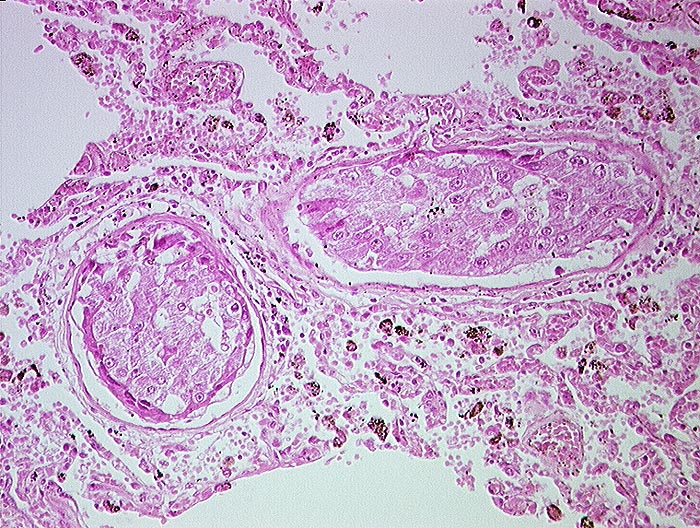
Hepatozelluläres Karzinom : Tumorembolien
Diagnose Gruppe
maligner Tumor
Topographie
Lunge
Topographie Gruppe
Lunge, Mediastinum mit Thymus
Beschreibung
Solide Tumorzellaggregate in Pulmonalarterienästen. Die Tumorzellen haben grosse Ähnlichkeit mit Leberzellen.
Kommentar
Hepatozelluläre Karzinome haben die Tendenz sich in Form von Tumorembolien in die Lungen auszubreiten.
Bilder Typ
Histologie
Geschlecht
weiblich
Datum
Ersteintrag: 05.12.2001